TEETH WHITENING

Over the years teeth have a tendency to change color – "yellow" or "stain". With our professional staff and experience we can assist you in whitening and bringing out the luster in previous yellow or discolored teeth. Three options are available:

 

  • At-home bleaching. We'll provide you with a special bleaching tray and a whitening gel. Use as indicated.
  • Boost-bleaching. Are done in the chair and takes approximately one hour.
  • Zoom-bleaching. Are done in the chair using a specially designed laser to accelerate the whitening process. This procedure will take more or less one and half hours.

 

 

Only top quality bleaching brands are used so as to not cause damage to your teeth.

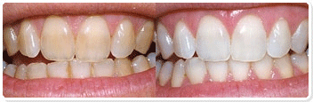
BEFORe AND AFTER

CONTACT

would love to hear from you so please fill out the form below, include as much information as possible, and we will get back to you soonest

OFFICE

500 Keiskamma str, Erasmuskloof

Pretoria, South Africa 0048

CALL US

012 347 2244

Submitting Form...

The server encountered an error.

Form received.

Copyright 2017 -  All Rights Reserved

Fire up your brand with Fire Cherry Creative Branding