SMILE DESIGN

Cosmetic reconstruction or extreme make over are exactly what the words imply. It is a complete ‘redo’ of the way you look and present yourself to the world. To many this does not only improve your smile but gives you back a long lost confidence.

 

Patients choose this treatment for the following reasons:

 

To -

 

  • Straighten teeth
  • Get a uniform color
  • Improve the shape of the teeth
  • Rectify years of dentistry gone wrong
  • Permanently fix the repeated breaking of heavily filled teeth
  • Restore the length of the teeth because of years of grinding
  • To get rid of food impaction problems
  • Permanently lighten teeth
  • Getting your teeth fixed can be more effective than Botox
  • The goal is to create harmony within the face and re-establish youthfulness in a natural way

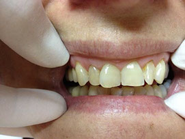
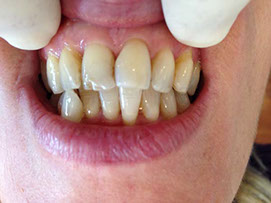
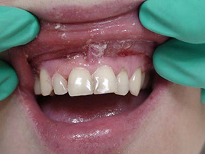
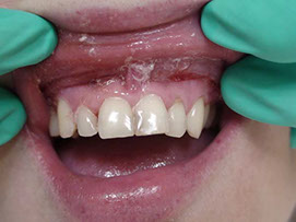
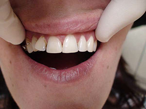
BEfore AND AFTER

CONTACT

would love to hear from you so please fill out the form below, include as much information as possible, and we will get back to you soonest

OFFICE

500 Keiskamma str, Erasmuskloof

Pretoria, South Africa 0048

CALL US

012 347 2244

Submitting Form...

The server encountered an error.

Form received.

Copyright 2017 -  All Rights Reserved

Fire up your brand with Fire Cherry Creative Branding