IMPLANTS

Implants are definitely the way of the future. Basically it is a screw that is placed in the bone to act as a 'root' for a new tooth or an anchor for a variety of prosthesis.

 

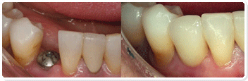
The picture on the left shows how an implant mimics the anatomy and function of a natural tooth.

 

Implants are done in three steps:

 

 

 

A hole, with a specific width, length and taper, is drilled in the jaw to fit a specific size and shape implant. (Your dentist will need to take a proper set of x-rays to determine the shape and size implant)

 

Contrary to what people think implant treatment are not so painful at all. During placement you will not experience any pain.  Five percent of people do experience pain afterwards but it rarely lasts for longer than four days. You will be given a course of antibiotics and some painkillers to assist in your recovery.

Step 1 : Placement of the implant (also known as phase one)

 

 

 

This takes place at least six months after step 1. The implant is now surgically exposed and a healing abutment is placed. The healing abutment is basically a screw that is screwed into the centre of the implant.

 

The head of this screw has got a certain height as to stick out above the gum line with about one millimeter. The purpose of this step is let the gum heal in a circle and to shape the gum for the following step.

 

 

 

An impression is taken and a dental technician will now manufacture your crown. A week later your crown is placed. This crown can either be screw retained or cemented in place.

 

 

 

 

 

 

 

 

 

 

 

 

 

 

 

 

 

 

 

 

 

 

 

 

 

 

 

 

 

 

Fastening dentures to the jaw. This is an excellent solution for those of you who are struggling with lose dentures and has been embarrassed by them. These dentures are still removable by the patient. Special oral hygiene methods apply (see oral hygiene page)

Step 1 : EXPOSURE of the implant (also known as phase TWO)

 

Step 3 : Placement of the CROWN (also known as phase THREE)

 

Implants can be used for the following applications

 

SINGLE CROWNS

BRIDGES

Permanent bars. A permanent fixed bar that is screw retained and cannot be removed by the patient. Special oral hygiene methods apply (see oral hygiene page)

 

These are some of the reasons why people choose to get dental implants:

 

  • Aesthetics  - tooth implants look and feel good. Dentists can achieve results that look exactly like natural teeth.
  • Comfort – a dental implant is such a good tooth replacement, that you don't even remember it is not real.
  • Improved hygiene – Individual implants allow easier access between teeth, enabling everyday normal dental care, and in that way improve oral health.
  • Durability – Dental implants offer a permanent solution to teeth loss. They bond to the jaw bone and become part of your body. The completed implant is as durable and strong as a natural tooth.
  • Improved oral health – Since treatment with dental implants involve placing implants in areas where there are no teeth and does not affect your other healthy teeth, more of your own teeth are left intact, improving your long-term oral health. Additionally, by placing implants in areas with no teeth, you stimulate the bone again and prevent long term bone loss in that area. When a tooth is lost the bone is not stimulated and starts to shrinks  away.

 

 

 

 

Not all patients are good candidates for implant therapy. Implants over all have a ten percent failure rate. Rejection of the implant happens within the first six months after placement. After which the failure rate decreases rapidly.

 

The following factors are some of the contra-indications and relative contra-indications to receiving implants:

 

Contra-indications:

 

  • Diabetics
  • Other immuno-suppresive disorders

 

 

The realistic side to implant

therapy

 

Relative contra – indications (These people can receive implants but should be aware that the failure rate is slightly higher):

 

  • Smokers
  • People with poor oral hygiene
  • Poor bone quality
  • Poor soft tissue quality
  • No space

 

 

 

An implant is made of a combination of two metals i.e. nickel and titanium. The metals especially titanium makes the implant bio-compatible.

 

The surface of the implant is treated with a material (called osteoconductive material) which allows bone cells to penetrate the surface of the implant. This means that the implant will physically become part of your body.

 

 

 

Realistically ten percent of implants fail because of non-integration.

HOW DOES AN IMPLANT WORK?

Failure

CONTACT

would love to hear from you so please fill out the form below, include as much information as possible, and we will get back to you soonest

OFFICE

500 Keiskamma str, Erasmuskloof

Pretoria, South Africa 0048

CALL US

012 347 2244

Submitting Form...

The server encountered an error.

Form received.

Copyright 2017 -  All Rights Reserved

Fire up your brand with Fire Cherry Creative Branding