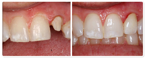
CROWNS

The tooth is grinded down at least one millimeter in circumference and shortened with at least two millimeters. A metal free porcelain crown is then cemented in place.

 

Ups: Include strength, excellent aesthetics, closing gaps, relieving food impaction problems and teeth straightening. With the newer generation metal free  porcelain crowns and the way they are ‘glued’ in place the integrity between crown and tooth are of the highest standard. The ‘glue’ is non dissolvable which means less leakages and crowns coming loose.

 

Downs: In certain cases metal free crowns tend to break under extreme pressure. This happens when people clench/grind their  teeth while sleeping (called bruxism). It is advisable to get a bite plate to sleep with to protect these crowns.

CONTACT

would love to hear from you so please fill out the form below, include as much information as possible, and we will get back to you soonest

OFFICE

500 Keiskamma str, Erasmuskloof

Pretoria, South Africa 0048

CALL US

012 347 2244

Submitting Form...

The server encountered an error.

Form received.

Copyright 2017 -  All Rights Reserved

Fire up your brand with Fire Cherry Creative Branding